Search icon

Health

16th Mar 2016

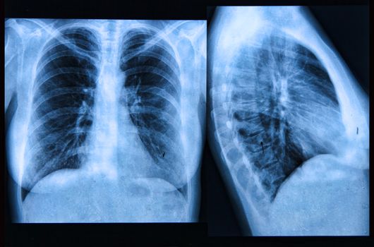
Louth Woman Becomes First Person In Ireland To Receive A Double Lung Transplant

Could be great news for cystic fibrosis sufferers.

Megan Cassidy

A good news story.

Twenty-year-old Leigh Bagnall is the first person in Ireland to undergo a groundbreaking double Ex-Vivo lung perfusion operation.

Leigh Bagnall, who suffers from cystic fibrosis had the pioneering, new type of transplant carried out at Dublin’s Mater Hospital last year and says it has changed her life.

She told the Irish Mirror

“I’m feeling unbelievable, terrific in other words.”

“Before I was constantly in and out of hospital and on antibiotics and on 24-hour oxygen, so I was quite sick.

“I was able to leave the house but I’d have to come back again quite quickly because I’d get tired.

“I was always wanting to go outside and go for walks but I knew my energy levels weren’t the best and I wasn’t the girl I used to be.”

When it came to nerves about being the first in the country to undergo the surgery, Leigh took it all in her stride.

She said:

“I wasn’t that nervous until I had the hair net on and was in the theatre bed but other than that I wasn’t worried at all…”

“I kind of just wanted to know what the machine was and how it affected the lungs and once I knew that I was like, ‘Come on let’s do it.’”

Leigh started to feel the positive results after just four days.

Now things are better than ever:

“I’m planning on doing a 10K in April in aid of cystic fibrosis, well the last 2K, not the whole 10K but part of it.

“I was there at the end of the line last year with oxygen so to be able to say I can do it this year is wonderful.”

Lung transplant surgeon Karen Redmond explained how important this is for cystic fibrosis sufferers.

“Currently there is a huge shortage of viable lungs available in comparison to the number of patients awaiting transplants in Ireland.

“If you couple this with the fact Ireland has among some of the most severe phenotypes of CF and the highest incidence (per head of population) of CF in the world.”

“This first success transplantation using EVLP is a huge step forward.”