Search icon

Health

21st Nov 2014

Doctors Discover Parasitic Tapeworm Living In Man’s Brain For Four Years

Doctors were left puzzled following years of MRI scans.

Her

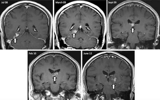
A man had a parasitic tapeworm living in his brain for four years before doctors knew it was there, according to a new report published in the journal Genome Biology.

The 50 year old first visited doctors in 2008, with complaints of headaches, seizures, memory loss and a change in his sense of smell.

Following an MRI scan, which showed up what appeared as a cluster of lesions in his brain, specialists began taking biopsies and tested the man for a number of diseases including HIV, lime disease and syphillus.

Doctors continued to monitor the condition over four years, but were amazed to find the remains of 10 cm ribbon-shaped larval worm amongst the brain tissue.

When doctors realised there was actually a tapeworm in the brain, they were able to administer drugs to kill the worm. The man has now completely recovered.

This was the first incident of the rare tapeworm being diagnosed in the U.K., with only 300 medical reports of similar situations worldwide.

Although the man is unsure how he picked up the tapeworm, he is of Chinese origin and frequently travelled from his home in the UK to his home country.

Other ways it is believed people will be infected is by accidentally consuming tiny infected crustaceans from lakes, eating raw meat from reptiles or by using raw rog poultice – a Chinese remedy to calm sore eyes.

Topics:

Health News,HIV