Open main menu
Search icon
Search icon
Open main menu
All sections
Celebrity
Entertainment
Life
Beauty
Style
Sport
Health
Books
Food
Search icon
Close menu
CATEGORIES
Celebrity
Entertainment
Life
Beauty
Style
Sport
Health
Books
Food
CATEGORIES
Celebrity
Entertainment
Life
Beauty
Style
Sport
Health
Books
Food
More
About Her
Terms & Conditions
Privacy Statement
Archive
User Generated Content
Contact
Our Brands
Her Family
Lovin
Lovin Dublin
JOE
Sports JOE
Gay Star News
repeal the 8th
Life
Hollywood actress spotted in Dublin today supporting a Repeal the 8th rally
By Her
Repeal
Irish women unite in a powerful new short calling for the 8th amendment to be repealed
By Cassie Delaney
Repeal
Further updates from #TwoWomenTravel as they return to Ireland
By Laura Holland
News
Citizens Assembly to look at abortion only in the context of fatal foetal abnormalities.
By Her
Repeal
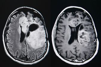
I have a tumour in my brain, and I’m happy about it
By Repeal Project
News
History is in the making – Abortion referendum one step closer
By Her
News
Enda Kenny discourages abortion referendum
By Cassie Delaney
News
Belfast Woman Given Suspended Sentence for Using Internet-Bought Miscarriage Pills
By Cassie Delaney
Repeal
Comment: Why We’re Waiving Impartiality on The 8th Amendment
By Cassie Delaney
Life
How Much Does an Unplanned Pregnancy Actually Cost in Ireland?
By Cassie Delaney
1
2
3
4
5